conceptualorthopedics.com

We would like to inform you that CO books are currently on hold till 31st May. Dispatch will begin from the first week of June on a first come, first serve basis.

Upcoming Offline Course

14 th& 15 th CO TRAUMA FOUNDATION COURSE (Early Registrations Now Open)

14 th& 15 th CO TRAUMA FOUNDATION COURSE
(Early Registrations Now Open)

Issue, December 2025

Newsletter

Conceptual Orthopedics – Top 5 Lectures of November

Start Your December Strong — Don’t Miss What Everyone Watched Last Month!

As December begins, residents across the country are revisiting the biggest orthopedic hits of November. If you haven’t watched these sessions yet, you might already be one step behind your competition. 🚨
These were the most-watched, most-discussed, and most-loved Conceptual Orthopedics sessions of November—rich with clinical pearls, exam relevance, and surgical depth.

1. A Journey Through Surgical Precision

Highlights from the 2nd CO HAND Microsurgical Skills Course

This powerful highlight session captures the discipline, focus, and sheer technical skill that define modern microsurgery.
From microscope handling to ultra-delicate suturing, every moment reflects Conceptual Orthopedics’ mission—to train confident, capable, and emergency-ready surgeons.

Residents, postgraduates, and surgeons will find unmatched insights into the true art of hand microsurgery.

Watch Now

2. Concept of Forefoot Adduction & Hindfoot Varus in Clubfoot Deformity By Dr. Faheem Kotekar

Clubfoot isn’t just a twisted foot—it’s a three-dimensional deformity that requires structured correction.

This session simplifies:

  • The biomechanics behind Forefoot Adduction & Hindfoot Varus
  • Clinical identification techniques
  • Sequential correction approach
  • Why Ponseti remains the gold standard

Perfect for residents, physiotherapists, and exam aspirants wanting clarity in Clubfoot management.

Watch Now

3. Cervical Myelopathy Explained By Dr. Jitesh Manghwani

A resident-favourite session on non-surgical management of cervical myelopathy.

Learn:

  • How to select appropriate patients
  • Designing physiotherapy-based treatment plans
  • Monitoring neurological status
  • Identifying red flags that warrant immediate surgical referral

Clear, systematic, and essential for everyday practice.

Watch Now

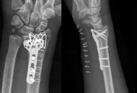
4. Distal Radius Malunion – Simplified for Residents By Dr. Shailesh Pai

Distal Radius Malunion can change the entire biomechanics of the wrist—and this session breaks it down beautifully.

Covers:

  • Radiographic parameters
  • Types & classifications
  • Functional implications
  • Management principles every resident must know

A must-watch for OPD, trauma postings, and exam preparation.

Watch Now

5. The Fracture Every Ortho Should Know – Distal Radius Volar Rim By Dr. Shailesh Pai

This fracture involves a tiny anatomical area yet creates a massive biomechanical challenge.

In this lecture, understand:

  • Why volar rim fractures are so critical
  • Stability principles
  • Key management strategies
  • Common errors and how to avoid them

Short, crisp, high-yield.

Watch Now

Your Journey to Becoming a Better Orthopedic Surgeon Begins Here

If these sessions sparked your curiosity, wait till you explore the rest of the Conceptual Orthopedics ecosystem—masterclasses, clinical pearls, surgical basics, case discussions, and more.

👉 Join Conceptual Orthopedics today and stay ahead of the competition.
Your residency, confidence, and surgical skillset deserve the best.

Hello! How can we help you?

Clinicon AI