conceptualorthopedics.com

We would like to inform you that CO books are currently on hold till 31st May. Dispatch will begin from the first week of June on a first come, first serve basis.

Upcoming Offline Course

14 th& 15 th CO TRAUMA FOUNDATION COURSE (Early Registrations Now Open)

14 th& 15 th CO TRAUMA FOUNDATION COURSE
(Early Registrations Now Open)

Issue, April 2026

Newsletter

March Must-Watch Sessions – Are You Missing Out?

March has been packed with some of the most important and high-yield sessions on Conceptual Orthopedics. If you haven’t watched these yet, you are already missing content that many residents are learning from right now. 

These are not just regular lectures. These are must-watch sessions that can directly improve your concepts, clinical understanding, and exam preparation.

1. Choosing the RIGHT Walking Aid Explained by Prof. Dr. Anil Dhal

This session explains how to choose the correct walking aid based on proper clinical assessment.

Key takeaways:

  • Selection depends on patient stability, muscle strength, and coordination
  • Clear understanding of the hierarchy: Parallel bars → Walking frame → Crutches → Walking stick
  • Importance of training upper limb muscles before starting ambulation
  • Clinical insight: Upper limb assessment is often ignored but is essential for proper patient management.

Click Here to Watch

2. Creep vs Crazing vs Debonding | Bone Cement Failure Explained by Dr. Vishal Huggi

A very important lecture on bone cement biomechanics.

Key takeaways:

  • Understanding viscoelastic properties: creep and stress relaxation
  • Why bone cement is weakest in tension
  • Difference between THR and TKR failure mechanisms
  • Clear explanation of crazing and debonding
  • Exam point: Bone cement tolerates compression but not shear or tension.

Click Here to Watch

3. Why Offset Matters in Hip Arthroplasty Explained by Dr. Vishal Huggi

One of the most important biomechanics concepts for exams and clinical practice.

Key takeaways:

  • How to reduce joint reaction force
  • Role of medialization and lateralization
  • Importance of correct head size selection
  • Practical tips for offset calculation
  • Clinical point: Implant longevity should always be the priority.

Click Here to Watch

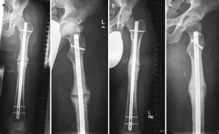
4. Femur Gap Nonunion in a Child Explained by Prof. Dr. Anil Dhal

A rare and important case discussion.

Key takeaways:

  • Understanding pediatric gap nonunion
  • How it differs from adult cases
  • Clinical approach and management
  • Surgical planning principles
  • Clinical insight: Early diagnosis and proper planning make a significant difference in outcomes.

Click Here to Watch

5. 4th DNB OSCE Offline Course | Key Highlights & Takeaways | Orthopedic Residency

Highlights from the offline OSCE course with insights from experienced faculty.

Key takeaways:

  • Practical exam strategies
  • Approach to OSCE stations
  • Real exam-focused preparation tips

Click Here to Watch

These sessions are just a glimpse of what Conceptual Orthopedics is offering. There is much more detailed and clinically focused content available on the platform.
Explore more on Conceptual Orthopedics and subscribe to stay updated and strengthen your preparation.

Hello! How can we help you?

Clinicon AI